


Direktverknüpfungen
Siehe auch...
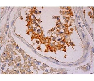
Es wurde ein monoklonaler Maus IgG2b κ Antikörper (PP2B-B1/2 Antikörper (D-1)) identifiziert, der das PP2B-B1/2 Protein menschlichen Ursprungs mittels Western Blot, Immunopräzipitation, Immunfluoreszenz, Immunhistochemie (Paraffin) und ELISA detektiert. Der PP2B-B1/2 Antikörper (D-1) ist sowohl als nicht-konjugierte Form des Anti-PP2B-B1/2 Antikörpers als auch in mehreren konjugierten Formen, einschließlich Agarose, HRP, PE, FITC und mehreren Alexa Fluor®-Konjugaten, erhältlich. In Eukaryoten ist die Phosphorylierung und Dephosphorylierung von Proteinen an Serin- und Threonin-Resten ein essentielles Mittel zur Regulierung einer breiten Palette von Zellfunktionen, einschließlich Division, Homöostase und Apoptose. Eine Gruppe von Proteinen, die eng in diesen Prozess involviert sind, sind die Proteinphosphatasen. Im Allgemeinen ist das Proteinphosphatase (PP) Holoenzym Trimerkomplex bestehend aus einer regulatorischen Untereinheit, einer variablen Untereinheit und einer katalytischen Untereinheit. Vier große Familien von Proteinphosphatase-Katalytikuntereinheiten wurden identifiziert, bezeichnet als PP1, PP2A, PP2B und PP2C. Eine zusätzliche Proteinphosphatase-Katalytikuntereinheit, PPX (auch bekannt als PP4), ist ein putativer Mitglied einer neuen PP-Familie. Die PP2B-Familie umfasst Subfamilienmitglieder PP2B-Aα, PP2B-Aβ und PP2B-Aγ. Zwei weitere regulatorische Untereinheiten wurden identifiziert, bezeichnet als PP2B-B1 und PP2B-B2.
Alexa Fluor® ist ein Markenzeichen von Molecular Probes Inc., OR., USA
LI-COR® und Odyssey® sind Markenzeichen von LI-COR Biosciences
Bestellinformation
| Produkt | Katalog # | EINHEIT | Preis | ANZAHL | Favoriten | |
PP2B-B1/2 Antikörper (D-1) | sc-373803 | 200 µg/ml | $322.00 | |||
PP2B-B1/2 (D-1): m-IgGκ BP-HRP Bundle | sc-522505 | 200 µg Ab, 40 µg BP | $361.00 | |||
PP2B-B1/2 Antikörper (D-1) AC | sc-373803 AC | 500 µg/ml, 25% agarose | $424.00 | |||
PP2B-B1/2 Antikörper (D-1) HRP | sc-373803 HRP | 200 µg/ml | $322.00 | |||
PP2B-B1/2 Antikörper (D-1) FITC | sc-373803 FITC | 200 µg/ml | $336.00 | |||
PP2B-B1/2 Antikörper (D-1) PE | sc-373803 PE | 200 µg/ml | $349.00 | |||
PP2B-B1/2 Antikörper (D-1) Alexa Fluor® 488 | sc-373803 AF488 | 200 µg/ml | $364.00 | |||
PP2B-B1/2 Antikörper (D-1) Alexa Fluor® 546 | sc-373803 AF546 | 200 µg/ml | $364.00 | |||
PP2B-B1/2 Antikörper (D-1) Alexa Fluor® 594 | sc-373803 AF594 | 200 µg/ml | $364.00 | |||
PP2B-B1/2 Antikörper (D-1) Alexa Fluor® 647 | sc-373803 AF647 | 200 µg/ml | $364.00 | |||
PP2B-B1/2 Antikörper (D-1) Alexa Fluor® 680 | sc-373803 AF680 | 200 µg/ml | $364.00 | |||
PP2B-B1/2 Antikörper (D-1) Alexa Fluor® 790 | sc-373803 AF790 | 200 µg/ml | $364.00 |