



ENLACES RÁPIDOS
VER TAMBIÉN ....
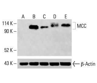
El anticuerpo MCC (A-9) es un anticuerpo monoclonal de ratón IgG1 κ MCC (también designado como anticuerpo MCC) que detecta la proteína MCC de origen humano, de ratón y de rata mediante WB, IP, IF y ELISA. El anticuerpo MCC (A-9) está disponible tanto en forma de anticuerpo anti-MCC no conjugado, como en múltiples formas conjugadas de anticuerpo anti-MCC, incluyendo agarosa, HRP, PE, FITC y múltiples conjugados de Alexa Fluor®. MCC (mutado en cánceres colorrectales), también conocido como MCC1, es una proteína en hélice que se localiza en el citoplasma. Está involucrada en la regulación del ciclo celular, regulando negativamente la progresión del ciclo celular durante la transición de G1 a S a través de un papel en la vía de señalización NFκB. Más específicamente, MCC interactúa con el inhibidor de NFκB, IκBβ, desempeñando un papel en su estabilización e inhibiendo así la translocación nuclear y la señalización de NFκB. Esto sugiere que MCC puede actuar como un supresor de tumores. MCC es una proteína fosforilada y el estado de fosforilación cambia en relación con el ciclo celular. Esto implica que su función puede ser regulada por fosforilación. MCC está altamente fosforilada durante la transición de la fase G1 a la fase S y débilmente fosforilada en G0/G1. La sobreexpresión de MCC resulta en un número disminuido de células que entran en la fase S.
Alexa Fluor® es una marca registrada de Molecular Probes Inc., OR., USA
REIVEW LI-COR® y Odyssey® son marcas registradas de LI-COR Biosciences.
Información sobre pedidos
| Nombre del producto | Número de catálogo | UNIDAD | Precio | CANTIDAD | Favoritos | |
MCC Anticuerpo (A-9) | sc-398216 | 200 µg/ml | $316.00 | |||
Paquete de MCC (A-9): m-IgG1 BP-HRP | sc-531765 | 200 µg Ab; 20 µg BP | $354.00 | |||
MCC Anticuerpo (A-9) AC | sc-398216 AC | 500 µg/ml, 25% agarose | $416.00 | |||
MCC Anticuerpo (A-9) HRP | sc-398216 HRP | 200 µg/ml | $316.00 | |||
MCC Anticuerpo (A-9) FITC | sc-398216 FITC | 200 µg/ml | $330.00 | |||
MCC Anticuerpo (A-9) PE | sc-398216 PE | 200 µg/ml | $343.00 | |||
MCC Anticuerpo (A-9) Alexa Fluor® 488 | sc-398216 AF488 | 200 µg/ml | $357.00 | |||
MCC Anticuerpo (A-9) Alexa Fluor® 546 | sc-398216 AF546 | 200 µg/ml | $357.00 | |||
MCC Anticuerpo (A-9) Alexa Fluor® 594 | sc-398216 AF594 | 200 µg/ml | $357.00 | |||
MCC Anticuerpo (A-9) Alexa Fluor® 647 | sc-398216 AF647 | 200 µg/ml | $357.00 | |||
MCC Anticuerpo (A-9) Alexa Fluor® 680 | sc-398216 AF680 | 200 µg/ml | $357.00 | |||
MCC Anticuerpo (A-9) Alexa Fluor® 790 | sc-398216 AF790 | 200 µg/ml | $357.00 |