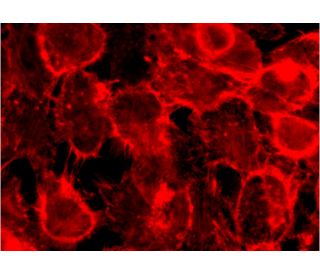
TDE2L (E-18): sc-138678. Immunfluoreszenzfärbung von formalinfixierten A-431-Zellen, die die Membranlokalisierung zeigen. Verwendetes Detektionsreagenz: Maus-Anti-Kaninchen-IgG-TR: sc-3917.
TDE2L (E-18): sc-138678. Immunfluoreszenzfärbung von formalinfixierten A-431-Zellen, die die Membranlokalisierung zeigen. Verwendetes Detektionsreagenz: Maus-Anti-Kaninchen-IgG-TR: sc-3917.
goat anti-rabbit IgG-TR: sc-2780
5.0(1)
Produkt bewertenBitte stellen Sie eine Frage
supplied at 200 µg in 0.5 ml volume
pre-adsorbed, Texas Red conjugated secondary antibody
recommended for use in immunohistochemical staining
recommended dilution range: 1:100 - 1:400
goat anti-rabbit IgG-TR has been discontinued and replaced with our new, and much superior, panel of Monoclonal Secondary Antibodies.