
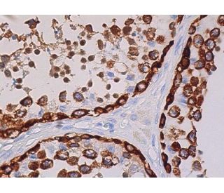
L'anticorpo MAGE-C1 (CT7-33) è un anticorpo monoclonale di topo IgG1 a catena leggera kappa che rileva la proteina MAGE-C1 di origine umana mediante western blotting (WB), immunoprecipitazione (IP), immunofluorescenza (IF) e immunoistochimica. L'anticorpo MAGE-C1 (CT7-33) è disponibile sia in forma non coniugata che in varie forme coniugate, tra cui agarosio, perossidasi di rafano (HRP), ficoeritrina (PE), isotiocianato di fluoresceina (FITC) e molteplici coniugati Alexa Fluor®. La famiglia degli antigeni associati al melanoma (MAGE), a cui appartiene il MAGE-C1, è nota per il suo ruolo nel suscitare risposte immunitarie contro i tumori, in quanto questi antigeni sono riconosciuti dai linfociti T citotossici. MAGE-C1, chiamato anche CT7, è particolarmente significativo per la sua espressione nel mieloma multiplo, dove MAGE-C1 si correla con la proliferazione delle plasmacellule, evidenziando il potenziale come biomarcatore per questa neoplasia. MAGE-C1 si trova principalmente nel citoplasma e nel nucleo delle cellule tumorali, il che è fondamentale per la funzione nel rigetto del tumore e nell'evasione immunitaria. La comprensione della localizzazione cellulare di MAGE-C1 è importante, in quanto questa conoscenza può influenzare lo sviluppo di terapie mirate, volte a migliorare il riconoscimento immunitario delle cellule tumorali. In particolare, MAGE-C1 è espresso in vari tumori ma rimane assente nei tessuti normali, ad eccezione del testicolo e della placenta, rendendo MAGE-C1 un bersaglio promettente per l'immunoterapia del cancro.
Alexa Fluor® è un marchio registrato di Molecular Probes Inc., OR., USA
LI-COR® e Odyssey® sono marchi registrati di LI-COR Biosciences
Informazioni ordini
| Nome del prodotto | Codice del prodotto | UNITÀ | Prezzo | Quantità | Preferiti | |
MAGE-C1 Anticorpo (CT7-33) | sc-53868 | 200 µg/ml | $322.00 | |||
MAGE-C1 (CT7-33): m-IgG Fc BP-HRP Bundle | sc-528581 | 200 µg Ab; 10 µg BP | $361.00 | |||
MAGE-C1 (CT7-33): m-IgGκ BP-HRP Bundle | sc-520992 | 200 µg Ab, 40 µg BP | $361.00 | |||
MAGE-C1 Anticorpo (CT7-33) AC | sc-53868 AC | 500 µg/ml, 25% agarose | $424.00 | |||
MAGE-C1 Anticorpo (CT7-33) HRP | sc-53868 HRP | 200 µg/ml | $322.00 | |||
MAGE-C1 Anticorpo (CT7-33) FITC | sc-53868 FITC | 200 µg/ml | $336.00 | |||
MAGE-C1 Anticorpo (CT7-33) PE | sc-53868 PE | 200 µg/ml | $349.00 | |||
MAGE-C1 Anticorpo (CT7-33) Alexa Fluor® 488 | sc-53868 AF488 | 200 µg/ml | $364.00 | |||
MAGE-C1 Anticorpo (CT7-33) Alexa Fluor® 546 | sc-53868 AF546 | 200 µg/ml | $364.00 | |||
MAGE-C1 Anticorpo (CT7-33) Alexa Fluor® 594 | sc-53868 AF594 | 200 µg/ml | $364.00 | |||
MAGE-C1 Anticorpo (CT7-33) Alexa Fluor® 647 | sc-53868 AF647 | 200 µg/ml | $364.00 | |||
MAGE-C1 Anticorpo (CT7-33) Alexa Fluor® 680 | sc-53868 AF680 | 200 µg/ml | $364.00 | |||
MAGE-C1 Anticorpo (CT7-33) Alexa Fluor® 790 | sc-53868 AF790 | 200 µg/ml | $364.00 |